Vai al contenuto
Dott Vito Fiorenza

Dott Vito Fiorenza

Medico-Chirurgo specialista in Neurochirurgia

  • Home
  • Profilo Professionale
  • Richiedi Informazioni
  • Curriculum
  • Articoli
Posted on settembre 8, 2020ottobre 4, 2020 di dott vito fiorenza

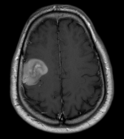
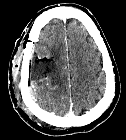
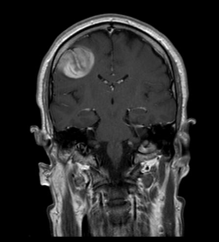
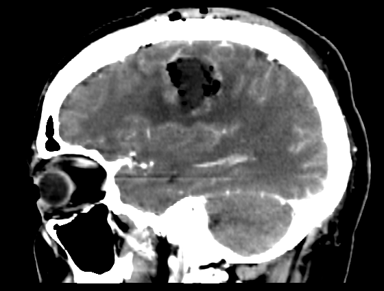
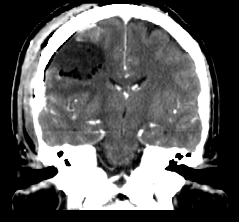
Resezione microchirurgica di tumore cerebrale (glioma alto grado cortico-sottocorticale) frontale dx

Condividi:

  • Condividi su X (Si apre in una nuova finestra) X
  • Condividi su Facebook (Si apre in una nuova finestra) Facebook
  • Condividi su WhatsApp (Si apre in una nuova finestra) WhatsApp
Mi piace Caricamento...

Correlati

Categoriechirurgia del cervello e del midollo spinale, neurochirurgia, neurochirurgo, Tumore cerebrale Tagfiorenza neurochirurgo palermo, microchirurgia tumore palermo, tumore cerebrale palermo, tumore del cervello palermo

Lascia un commento Cancella risposta

Navigazione articoli

Articolo precedentePrecedente Posterior Atlanto-Axial Stabilization Using Intraoperative Navigation System
Articolo successivoContinua Le lombalgie e i dolori irradiati agli arti inferiori – inquadramento diagnostico e terapeutico

Dott Vito Fiorenza – neurochirurgo

Dirigente Medico I livello U.O.C. Neurochirurgia Palermo.

Come contattarmi

Clicca per inviare messaggio WhatsApp

evento futuro: Dumbbell intra/extradural solitary fibrous tumor/hemangiopericytoma of the spine

Cerca nel sito

modifica lingua del sito

Vai a

  • Home
  • Profilo Professionale
  • Richiedi Informazioni
  • Curriculum
  • Articoli

Come contattarmi

 

Categorie

Blog su WordPress.com.
  • Commenta
  • Ripubblica
  • Abbonati Abbonato
    • Dott Vito Fiorenza
    • Hai già un account WordPress.com? Accedi ora.
    • Dott Vito Fiorenza
    • Abbonati Abbonato
    • Registrati
    • Accedi
    • Copia shortlink
    • Segnala questo contenuto
    • Visualizza articolo nel Reader
    • Gestisci gli abbonamenti
    • Riduci la barra
%d