Clipping di aneurisma complesso M1-M2 di sinistra – ricostruzione biforcazione arteria cerebrale media

Aneurisma Biforcazione ACM – Vito Fiorenza 




















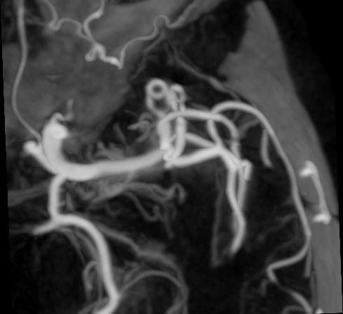
Angiografia cerebrale di controllo post-operatorio 









Clipping di aneurisma complesso M1-M2 di sinistra – ricostruzione biforcazione arteria cerebrale media






























